|
|
PSY 340 Brain and Behavior Class 11: Cerebral Cortex |
|
Cerebral Cortex
The outer surface of the cerebral hemispheres is known as the cerebral cortex ("tree bark" in Latin). The surface of the cortex has many folds and contains a great deal of surface packed into a small area. The surface is also called the brain's "gray matter" because it consists mostly of the bodies of neurons (see
diagram on right where the gray area is above the green line). From these neurons, connecting axons stretch inward away from the surface of the cortex. These form the "white matter" of the cortex beneath the surface (below the green line).
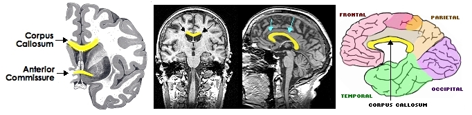
The brain is comprised of two different cerebral hemispheres: the right and the left. Each of the two cerebral hemispheres communicates with the other via several bundles of axons. The largest is the corpus callosum (see diagram on the right and left below). A second, smaller connection is the anterior commissure (see diagram on the left below).
Organization of the Cerebral Cortex
![]()
Laminae: There are six layers or laminae (singular = lamina) of neurons which comprise the surface of the cerebral cortex. The thickness of these layers varies in different sections of the cortex, but averages 2.6 mm (= size of 2 dimes stacked one on the other).
- Layer IV receives sensory data from thalamus
- Layer V sends out motor instructions to the spinal cord
Columns: The cortex's neurons are also arranged as columns with cells of similar properties grouped perpendicular to the surface of the cortex. For example, in the "Somatosensory Strip" (the Postcentral Gyrus noted below), if a neuron responds to pressure upon the elbow, other neurons in its column will also respond to pressure on the elbow. Or, in the primary visual area of the occipital lobe, a neuron which responds to a particular light pattern will find other neurons in its column also responding.
The diagram to the left shows the principal parts of the left hemisphere of the brain.
Central Sulcus: Note in the diagram of the cerebral cortex the label near the top of "Central Sulcus". A sulcus (sulci, pl.) is a fissure, groove, or depression on the surface of the cortex. These sulci normally separate ridges or protrusions of cortical tissue called gyri (gyrus, singular).
The Central Sulcus separates the Frontal from the Parietal Lobe of the brain. Anterior to (in front of) the Central Sulcus lies the Precentral Gyrus. We have already seen this area under the label of the brain's "Motor Strip." Posterior to (in back of) the central sulcus lies the Postcentral Gyrus. We have already seen this area under the label of the brain's "Somatosensory Strip."
The Sylvian (also known as the Lateral) Fissure (or Sulcus) separates the Frontal & Parietal Lobes from the Temporal Lobe.
The Lobes of the Cerebral Cortex
Occipital Lobe
In the posterior of the cerebral hemispheres lies the occipital lobe of the brain.
At the very posterior of the lobe lies the "Primary Visual Cortex" (labeled as "17" and "V1" in the diagram). Destruction to this area causes cortical blindness. There is a correspondence between places within the visual field and neurons in the occipital cortex. Thus, damage to specific tissue of the cortex creates blindness in that area of the visual field.
- The occipital lobe sends visual information to both the parietal and temporal lobes (as seen in the diagram). We will discuss this issue later in the semester.
Parietal Lobe
Somatosensory Strip. Anterior to the occipital lobe and posterior to the Central Sulcus lies the parietal lobe of the brain (see diagram above). The Postcentral Gyrus ("Somatosensory Strip" or "Somatosensory Cortex") receives sensations from the rest of the body. The information arriving in this area involves touch (both light and heavy), temperature, and the position of the limbs of the body (telling where your arms, legs, hands, head, etc. are located). Each place on the surface of our body has a corresponding place on the strip. Further, the amount of tissue in the strip devoted to a particular place is proportional to how sensitive the area of the skin is. So, a lot more tissue is devoted to our lips than to our legs. The sensory information from one side of the body crosses over and is processed by the somatosensory strip of the opposite side of the brain. Sensations from the left side of the body are processed in the right hemisphere of the brain and vice versa.
Visuo-spatial Processing & Sensory Integration. The parietal lobe maintains representations of the body's and of the head's position in space. This permits the rest of the brain to interpret what it is experiencing when it sees and feels things happening in actual space in and around ourselves. Thus, the parietal lobe integrates (brings together) sensory information (especially touch and vision) from multiple parts of the body. It interprets where objects are in space and analyzes visual motion.
Temporal Lobe
The temporal lobe lies on the side (lateral) of each cerebral hemisphere. On the superior margin (top) of the temporal lobe lies the primary auditory cortex, the tissue which is central to the understanding of spoken language. The temporal lobe is central to hearing.
Other parts of the temporal lobe are involved in the recognition of faces and objects.
Other emotional and motivational behaviors are associated with the temporal lobe. A very rare disorder, Klüver-Bucy Syndrome, is associated with destruction of the inferior temporal cortex and part of the amygdala. Its symptoms include
The original investigators, Heinrich Klüver (1897-1979) and Paul Bucy, experimented on monkeys who received lesions bilaterally to this section of the brain. They noted the monkey's seemed to become "psychically blind," i.e., they were unable to recognize objects any longer. This may be why they would handle snakes or lighted matches which otherwise they would avoid.
- putting many types of objects in the mouth,
- emotional placidity,
- hyper/inappropriate sexual advances, and
- distractibility caused by small objects.
Frontal Lobe
The frontal lobe lies anterior to the central sulcus and superior to the temporal lobe.
![]()
Precentral Gyrus ("Motor Strip" or "Motor Cortex").
Anterior to the Central Gyrus and in the posterior of the frontal lobe lies the Precentral Gyrus or "Motor Strip." Classically understood, the Motor Strip "is responsible for initiating purposeful and intentional movements. These purposeful movements include everything from moving your hands, arms, and legs to controlling facial expressions and even swallowing. In a normal functioning primary motor cortex, signals cross over the center of the body to activate muscles on the opposite side. This means that the movements on the right side of your body are controlled by the left hemisphere of the primary motor cortex, and vice versa. Additionally, different areas of the primary motor cortex control different parts of the body. While every body part is represented in the primary motor cortex, not every part has equal amounts of brain matter devoted to it” (FlintRehab, 2021).
In the 1930s, the neurosurgeon Wilder Penfield electrically stimulated areas of the motor strip of patients undergoing brain surgery and created a map of what areas of the strip correspond to what muscles move in the body (see diagram at left above). This map is called the "motor strip homunculus" (homunculus = small man) and for about 90 years has been influential in describing what happens in the primary motor cortex. Notice in the figure that the strip is continuous with each location on the strip being responsible to control specific muscles in the body.
However, over the last decade, researchers have begun to question that the primary motor cortex is set up as a continuous strip that has a one-to-one relationship between stimulation and the movement of specific muscles. As early as 2002, Princeton University neuroscientist Michael Graziano reported stimulating the precentral cortex/motor strip in monkeys and finding not a single muscle movement, but a set of complex and coordinated movements: Stimulation “evoked complex postures that involved many joints. For example, stimulation of one site caused the mouth to open and also caused the hand to shape into a grip posture and move to the mouth. … Stimulation of other cortical sites evoked different postures. Postures that involved the arm were arranged across cortex to form a map of hand positions around the body” (Abstract). This challenged the view that there are only simple movements related to specific sites on the motor strip.
Somato-Cognitive Action Network (SCAN)
In 2023 a significant challenge to the standard view was reported by Gordon et al. (2023) in the journal NATURE that "using precision functional magnetic resonance imaging (fMRI) methods, we find that the classic homunculus is interrupted by regions with distinct connectivity, structure and function, alternating with effector-specific (foot, hand and mouth) areas." (Abstract). In a study of the brain activities of 7 human subjects, Gordon et al. suggest that there are two different regions in the primary motor cortex. "In the updated map, control is divided into three sections: lower body green), arms and torso (blue) and head (orange). The order of specific body parts is different as well, with most parts being connected to two spots on the motor cortex. Between these sections, the team also found three regions that coordinate whole-body movement (purple). They connect to a brain network involved in action control and pain sensation" (Bradford, 2023, p. 30)
What does this mean? As Parshall (2026) summarizes, "[The motor strip] links the mind and the body to turn thoughts into actions…[it] is not a simple map of the body. Interspersed between body-part-specific areas are nodes of a network that coordinates higher-level planning for movement. Instead of being a mere foot soldier following orders from more frontal brain regions, [the motor strip] helps plan, guide and coordinate action."
The importance of this proposed SCAN is highlighted in the recent findings involving Parkinson's disease (Ren et al., 2026). "[Parkinson’s disease (PD)] has traditionally been classified as a movement disorder on the basis of its most visible and debilitating symptoms, despite the well-recognized complex deficits in movement planning, coordination and cognitive abilities. Here we provide evidence that the SCAN lies at the core of network dysfunction in PD. With this updated understanding, we propose that PD may be better conceptualized and treated as a SCAN disorder. While SCAN dysfunction is not exclusive to a single condition—as it could also arise from stroke or multiple sclerosis—our findings position PD as a paradigmatic instance of a SCAN disorder" (Ren et al., 2026, p. 7; emphasis added).
The researchers “found that SCAN was overly-connected to deep-brain regions in those with Parkinson’s but not in healthy people or those with other movement disorders. Individuals with Parkinson’s who had higher connectivity in this circuit experienced worse symptoms. The researchers also found that existing treatments for Parkinson’s, including the medication levodopa (also known as L-DOPA), as well as brain stimulation, decreased the circuit’s connectivity, making the brains of people with the condition look more like those of healthy people. The more a treatment reduced someone’s SCAN connectivity, the more their motor function improved” (Parshall, 2026, emphasis added)
.
Prefrontal Cortex: Executive Control. The tissue in the frontmost part of the lobe is called the "prefrontal cortex." In humans, this is a very large area of the brain (compared to what is found in other animals; see graphic on left). This cortical area receives projections from the entire cortex and contains neurons with many dendrites and dendritic spines (16x more numerous than in other areas). This allows the prefrontal area to integrate a large amount of data. During the rest of the semester we will be looking at various functions performed by the prefrontal cortex (e.g., involving "executive" planning and judgmental roles, emotional modulation, and others). However, we might note here some important notions:
- Involved with working memory: short-term information (rather than long-term factual data) & responding to delayed-response tasks (needing to respond to what is remembered after a short delay)
- Control of behavior that depends upon context or setting. Damage shows itself in impulsivity or inappropriate responses. For example, do you look through the desk drawers in someone else's home? What difference does it make to your behavior if you are in a sports arena or your local church?
Lobotomy/Psycho-surgery. From the late-1930s to the mid-1950s, physicians performed prefrontal lobotomies, an operation in which the surgeon would cut some of the nerve tracts between the prefrontal tissue and the rest of the brain. It was believed that this would "calm" individuals with severe mental disorders (especially schizophrenia) without impairing motor skills or sensory capacities.
The technique was developed in Europe, but pioneered in the U.S. by a physician, Dr. Walter Freeman, It was used with about 40,000 patients. The operation did not usually result in any significant help to the patient. We know today, for example, that the frontal lobes of schizophrenic patients are under-aroused and, thus, the operation harmed an area that was already functioning poorly.
Putting It Together: The Binding ProblemConsider the following images. On the left is Vincent Van Gogh's The Harvest and on the right is Escher's Relativity.
![[Relativity]](../graphics/relativity.jpg)
Which one of these pictures is easier to view as a whole?
- Have you ever been in a car as a passenger, but since the car is moving so slightly forward, you don't feel any movement. So, when you take a look at a billboard on the side of the road, you may have a sense that the billboard rather than you is moving.
- Or, what do you feel when you watch a tape-delayed show on television and they haven't synchronized the sound and the picture? You know immediately that something is wrong because the sound and the image just don't go together.
Our interactions with the world -- via sight, sound, movement, etc. -- is processed in quite different parts of the brain. But, we normally experience the world and what's in it (the objects around us) each as unified or whole. How does the brain do that? How does the brain take sound, vision, and other sensory qualities and bring them together so that we perceive every object as a unified and complete whole? This is what is called in neuroscience the binding problem (or, "the large scale integration" problem).
We used to think that the brain "associated" different sense modalities and joined sight, sound, etc. in cerebral cortex tissue called "association areas." Now we know that that does not happen. What does happen? We are not really sure. We do know that the various sensations (e.g., sound, vision) need to come from the same place at the same time.
Ramachandran has developed a treatment for phantom limb pain based upon these insights. He created a "mirror box" which allows arm amputees to "fool" themselves and achieve relief from itching and other pains.
Treating Phantom Pain with Mirror Therapy (YouTube)
References/Resources
Bradford, N. (2023, June 3). A classic brain map gets an update. Science News. https://www.sciencenews.org/wp-content/uploads/2023/12/sciencenews20230603-dl.pdf
FlintRehab (2021, November 17). Primary motor cortex damage: What to expect & how to treat. Retrieved from https://www.flintrehab.com/primary-motor-cortex-damage/
Gordon, E. M., Chauvin, R. J., Van, A. N., et al. (2023). A somato-cognitive action network alternates with effector regions in motor cortex. Nature, 617, 351-359. https://doi.org/10.1038/s41586-023-05964-2
Graziano, M. S. A., Taylor, C. S. R., & Koore, T. (2002). Complex movements evoked by microstimulation of precentral cortex. Neuron, 34, 841-851. https://doi.org/10.1016/S0896-6273(02)00698-0
Klüver, H., & Bucy, P. C. (1939). Preliminary analysis of functions of the temporal lobes in monkeys. Archives of Neurology & Psychiatry, 42(6), 979-1000. [Republished in 2006 by The Journal of Neuropsychiatry and Clinical Neurosciences, 9(4), 606-a. https://doi.org/10.1176/jnp.9.4.606-a].
Parshall, A. (2026, February 4). Scientists discover brain network that may cause Parkinson’s disease. Scientific American. https://www.scientificamerican.com/article/extraordinary-brain-network-discovery-changes-our-understanding-of/
Ren, J., Zhang, W., Dahmani, L. et al. (2026). Parkinson’s disease as a somato-cognitive action network disorder. Nature. https://doi.org/10.1038/s41586-025-10059-1
The original version of this page was posted on February 8, 2005