| 
               Oct. 16, 2025  | 
              PSY
                  101    
                 | 
          |
Motivation
Goal-Directed Behavior
Why do you and I do the things that we do???
What is it that you want or desire?
Motivational Theories and Concepts 
1. Drive Theories ("push" theories)
homeostasis (balance) allostasis (process of reaching balance by physical or behavioral change) Drive = 
(a) internal state of tension which 
(b) motivates an organism 
(c) to act to reduce the tension 2. Incentive Theories ("pull" theories)
- Incentive = external goal which can motivate behavior
 ![]()
![]()
3. Evolutionary Theories 
- maximize reproductive success, e.g.,
 
- dominance
 
- affiliation (need for belonging)
 ![]()
4. Diversity of Motivation
Biological Social Originate in bodily need
- Hunger
 - Thirst
 - Sex
 - Sleep, etc.
 Originate in social experiences
- Achievement
 - Affiliation
 - Nurturance
 - Play
 
Hunger & Eating The Roots of Obesity: Eating & Weight
What can we say about the causes of Homer Simpson's insatiable appetite for doughnuts? 
A very complicated set of interrelated & interacting forces & mechanisms
Multifactorial causation!
Biological Factors in the Regulation of Hunger
![]()
![]()
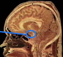
A. Brain: Interconnected neural circuits in the hypothalamus
- Lateral Hypothalamus (LH): Initiate eating
 - Ventromedial Hypothalamus (VMH): Stop eating
 - Arcuate Nucleus: Dual set of neurons: start & stop
 
- Paraventricular Hypothalamus (PVH): modulation of hunger
 
- Neurotransmitters:
 
- neuropeptide Y (↑ carbs) & serotonin (↓ fats, food)
 
B. Digestive & Hormonal Regulation
Signals from stomach
Hormones
- Ghrelin
 - CCK (cholecystokinin)
 - Insulin
 - Leptin
 
Environmental Factors
A. Food Cues: Incentives
- Palatability
 
- Quantity
 
- Variety (Sensory-specific satiety)
 
- Presence of Others
 
- Stress
 
- Exposure to Cues
 
B. Learning
- Innate (in-born)
 
- Observation of others eating
 
- Obesity
 - Body Mass Index (BMI) = weight (in kgms)/height (in m.) squared
 
- 18.5 to 24.9 = normal
 
- 25-29.9 = overweight
 - 30-39.9 = obese
 - over 40 = morbidly (severly/extremely) obese
 

According to the CDC in 2021-2023, 40.3% of adult Americans are obese (= ca. 105 million) and 9.4% of adults were severely obese (= ca. 24.5 million
![]()
Why? Factors in Obesity in US
A. Genetic Predisposition: Moderately high levels of heritability for weight in men & women
B. Excessive Eating & Inadequate Exercise (see D. below as well)
C. Inadequate Sleep
D. Socio-economic Factors in Industrialized/Developed Nations [Not in textbook; ]
E. The Notion of a "Set Point"
- In industrialized nations: individuals expend more energy than in poorer settings, but consume even higher levels of calories.
 - Diets in industrialized nations: ultra-processed foods = high in calories ["energy dense"], very good tasting [flavorings & textures]
 
![]()
This page was originally posted on 10/16/03