Home
 Last updated: October 6, 2025

Class 16: The Nervous System: Neuroanatomy (Outline)

1. Organization of the Nervous System

2. The Brain and Behavior

3. Right Brain/Left Brain: Cerebral Specialization

 
  CNS & PNS1. Organization of the Nervous System
A. The Peripheral Nervous System (PNS) = All the nerves which do NOT belong to the brain or spinal cord.

The Somatic Nervous System
= Nerves which connect to the voluntary skeletal muscles and to sensory receptors
The Autonomic Nervous System  = Nerves which connect to the heart, blood vessels, smooth muscles, and glands.
1. Sympathetic System = This system mobilizes the body to deal with challenges

2. Parasympathetic System = This system conserves & restores body resources as it "tunes down" the body

brainB. The Central Nervous System (CNS)

The Spinal Cord

The Brain

Dr. Joseph P. Hornak (RIT). The Basics of MRI (2003).



 2. The Brain and Behavior
 A. Selected Techniques to Measure & Image the Central Nervous System

Animal Research: Lesioning (Ablation) and Electrical Stimulation

  • Lesion = injuring tissue, e.g., cutting, burning
  • Ablation = cutting away tissue

Human Research & Health Care

[Cat
                  Scan Hemorrhage]  [Cat
                  Scan Tumor]  CT (Computerized Tomography): 3-dimensional low energy x-ray scans of brain processed by computer
   [MRI
                  Image Tumor]

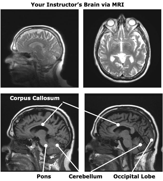
MRI (Magnetic Resonance Imaging).

Whole Brain Atlas (Harvard Medical School)

 PET Scan of cognitive functions
National Institute on Drug Abuse

PET (Positron Emission Tomography)

MicroPET
                  scanner @ Washington U., St. Louis.
[Transcranial Magnetic Stimulation]
TMS (Transcranial Magnetic Stimulation)

fMI
fMRI (Functional Magnetic Resonance Imaging)
  • In the image to the left, two major areas of the brain are active when seeing something = primary visual cortex in the occipital lobe and the lateral geniculate nucleus of the thalamus

Brain
  • 3 pounds
  • about 86 billion (+/- 8 billion) neurons & about 84 billion glial cells
B. Hindbrain    
Hindbrain  Cerebellum

Large, folded structure behind the brainstem.

  • Coordination of movement & balance
  • Smooth motion
  • Fine (intricate) motor skills
  • Conditioned learning
  • NEW: role in cognition (thinking), language, & affect (emotion)
brainstem = medulla & pons (below)
 Medulla
  • Regulation of fundamental bodily activities such as breathing and blood circulation. Major damage leads to death.
  • Muscle tone
  • Reticular Formation: runs in middle of medulla, pons, & into midbrain. Modulates breathing, pain, & centrally involved in sleep, awakening & arousal.

 Pons

("The Bridge")

  • Pathway between the Cerebellum and the Cerebrum (see below)
  • Connects the Cerebrum above with the brain stem & the spinal cord below.

 C. Midbrain

midbrain

Segment of top of the brain stem lying between the pons and the forebrain.

  • Sensitive to orientation of individual in space; works with voluntary muscle movement (e.g., moving head to respond to someone's call or a strange sound; tracking an object like a baseball to catch it)
      
  • Dopamine-releasing neurons project from the midbrain into the forebrain. The gradual death of these neurons is associated with the development of Parkinson's Disease.
 D. Forebrain    
 i. Thalamus
  • Relay station for all incoming sensory information (vision, hearing, touch, etc.) except for smell. Information is passed on to cerebrum.
  • Beginning of the integration of this information.
 ii. Hypothalamus
  • Regulation of basic bodily needs & functions; maintains body's biological homeostasis (balance), e.g, temperature, heart rate, blood pressure
  • Control of the autonomic nervous system: fighting vs. relaxation.
  • Basic biological drives: feeding, thirst, sex
  • Sends various signals to the pituitary gland to release hormones

 iii. Limbic System

[Limbic
                        System]

medial forebrain bundle
  • A loose network of structures which, together, appear to be involved in the regulation and expression of emotion and pleasure

Hippocampus

  • Human memory processes. Long-term storage (consolidation) of memories. We learned this from Patient H.M.

Amygala

  • Evaluation of the environment vis-a-vis emotion
  • Particularly involved in fear and anger responses

Medial Forebrain Bundle (part of limbic system & passing through the hypothalamus)

  • Olds & Milner (1954) discovery of self-stimulation centers in rats' brains = "pleasure centers"
  • DA-rich neurons which, when stimulated, result in pleasure/reward
 iv. Cerebrum  The largest and most complex part of the human brain.
 [Cortex Top View]
  
[Cortex Bottom View]
Cerebral Cortex = The outer layer of the cerebrum. Deeply folded and compacted

Cerebral Hemispheres.


Deep below the outer cortex, the two hemispheres are connected by a thick bundle of fibers called the corpus callosum
[Cerebrum]


 Lobes of the Brain

[Lobes of the
                    Brain]

 Frontal Lobe
  • Primary motor cortex: initiation of movement (pink color in diagram)
  • Prefrontal cortex: area in front of motor cortex (deep red in diagram)
  • Executive functions: Goal planning, making decisions, considering context
 Parietal Lobe
  • Primary processing area for sense of touch and the other somatosensory senses (temperature, pressure, proprioception, etc; darker blue in diagram.)
  • Processes the spatial aspects of behavior (e.g., where the body is located in space; lighter blue in diagram)
 Temporal Lobe
  • Primary auditory processing area
  • Comprehension of spoken language 
  • Processes visual data to recognize faces, objects, and what they are called
 Occipital Lobe
  •  Primary visual processing area

 3. Right Brain/Left Brain: Hemispheric Specialization
Broca  [Paul Broca]          [Tan's Brain]    [Broca &
                  Wernicke's Areas]   [Paul
                  Wernicke]   Wernicke

 19th Century: Discovery of Hemispheric Dominance

Paul Broca (1861)

  • The area is now known as "Broca's Area" and patients with damage (lesions) to this area have difficulty actually pronouncing spoken language. This difficulty is also known as "Broca's aphasia" or "expressive aphasia".

Carl Wernicke (1874)

  • "Wernicke's aphasia" or "receptive aphasia" and the region of the cortex is usually called "Wernicke's area"

Conclusion: By the 20th century, neurologists and psychophysiologists described the left hemisphere of the brain as dominant for language

 Split-Brain Research

[Roger
                    Sperry]  Roger Sperry
Nobel e-Museum

[Split
                    Brain Research Model]Effects of "split brain" operations

These results support the notions of

  • Language processing in the left hemisphere
  • Continued visual processing in the right hemisphere
 Hemispheric Specialization  
Left Hemisphere
  • Verbal processing (speech, language, reading)
  • Some evidence for analytic processing, that is, items in discrete parts
Right Hemisphere
  • Nonverbal processing -- spatial data
    • Musical perception
    • Visual object recognition
  • Some evidence for synthetic processing, that is, recognizing the overall configuration or organization of perceptual data
 Caution In the normal human brain, both hemispheres are in direct and intensive contact with each other. The evidence that individuals use one hemisphere more than another ("I'm more of a right-hemisphere kind of person") is extremely weak or non-existent!!!