Home
 Last updated:  October 2, 2025

Class 16: The Nervous System: Neuroanatomy

1. Organization of the Nervous System

2. The Brain and Behavior

3. Right Brain/Left Brain: Cerebral Specialization

 
  CNS & PNS1. Organization of the Nervous System
A. The Peripheral Nervous System (PNS) = All the nerves which do NOT belong to the brain or spinal cord.

The Somatic Nervous System
= Nerves which connect to the voluntary skeletal muscles and to sensory receptors
The Autonomic Nervous System  = Nerves which connect to the heart, blood vessels, smooth muscles, and glands.
1. Sympathetic System = This system mobilizes the body to deal with challenges
  • Heart rates increases
  • Blood vessels in muscles dilate for more blood flow; constrict in digestive tract
  • Lung bronchioles [air passageways] dilate (open wider) for more oxygen
  • Digestive tract turns off peristalsis (action of the intestines) and reduced saliva
  • Muscles tend to contract
2. Parasympathetic System = This system conserves & restores body resources as it "tunes down" the body
  • Heart rate slows down
  • Bronchial tubes constrict
  • Increased activity in digestive system (e.g, saliva increases)

brainB. The Central Nervous System (CNS)

The Spinal Cord

The Brain

Dr. Joseph P. Hornak (RIT). The Basics of MRI (2003).



 2. The Brain and Behavior
 A. Selected Techniques to Measure & Image the Central Nervous System

Animal Research: Lesioning (Ablation) and Electrical Stimulation

  • Lesion = injuring tissue, e.g., cutting, burning
  • Ablation = cutting away tissue

Human Research & Health Care

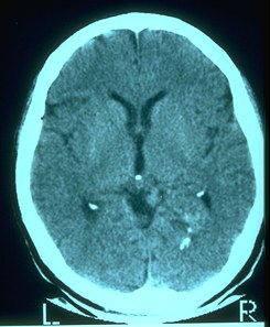
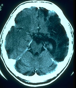
[Cat
                  Scan Hemorrhage]  [Cat
                  Scan Tumor]  CT (Computerized Tomography): 3-dimensional low energy x-ray scans of brain processed by computer
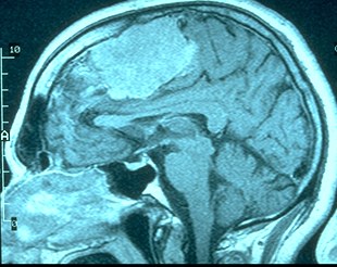
   [MRI
                  Image Tumor]

MRI (Magnetic Resonance Imaging): 3-dimensional images created by subjecting body to radio waves under strong magnetic fields. Computers can recreate image of inside of the body.

Whole Brain Atlas (Harvard Medical School)

 PET showing cognitive functions
National Institute on Drug Abuse

MicroPET
                      scanner @ Washington U, St. LouisPET (Positron Emission Tomography)

  • Short-lived radioactive markers (usually attached to a molecule of glucose/sugar) detail the level of activity of the neurons that use the glucose. As the markers decay they send out a subatomic particle called a positron which, in turn, causes the emission of a type of photon. Sensitive detectors surrounding the head or the body detect where the photons came from and can calculate how active tissue is in different areas of the brain.
[Transcranial Magnetic Stimulation]
TMS (Transcranial Magnetic Stimulation)

  • Using magnetic pulses, the activity of underlying neural tissue on the surface of the brain can be either temporarily stimulated or depressed
fMRI
fMRI (Functional Magnetic Resonance Imaging): highly powerful computers measure the flow of blood or oxygen use in brain in near real time (via MRI methods). Blood flow or oxygen use are measures of biological activity (functions).
  • In the image to the left, two major areas of the brain are active when seeing something = primary visual cortex in the occipital lobe and the lateral geniculate nucleus of the thalamus

Brain
  • 3 pounds
  • about 86 billion (+/- 8 billion) neurons & about 84 billion glial cells
B. Hindbrain    
Hindbrain  Cerebellum

Large, folded structure behind the brainstem.

  • Coordination of movement & balance
  • Smooth motion
  • Fine (intricate) motor skills
  • Conditioned learning
  • NEW: role in cognition (thinking), language, & affect (emotion)
brainstem = medulla & pons (below)
 Medulla
  • Regulation of fundamental bodily activities such as breathing and blood circulation. Major damage to the medulla often results in death.
  • Muscle tone
  • Reticular Formation: runs in middle of medulla, pons, & into midbrain. Modulates breathing, pain, & centrally involved in sleep, awakening & arousal.

 Pons

("The Bridge")

  • Pathway between the Cerebellum and the Cerebrum (see below)
  • Connects the Cerebrum above with the brain stem & the spinal cord below. A pathway for motor instructions to the spinal cord and for sensory information from the spinal cord to the thalamus (see below)

 C. Midbrain

midbrain

Segment of top of the brainstem lying between the pons and the forebrain.

  • Sensitive to orientation of individual in space; works with voluntary muscle movement, e.g., moving head to respond to someone's call or a strange sound in the environment; tracking an object like a baseball to catch it
      
  • Dopamine-releasing neurons project from the midbrain into the forebrain. The gradual death of these neurons is associated with the development of Parkinson's Disease.
 D. Forebrain    
 i. Thalamus
  • Relay station for all incoming sensory information (vision, hearing, touch, etc.) except for smell. Information is passed on to cerebrum.
  • Beginning of the integration of this information.
 ii. Hypothalamus

  • Regulation of basic bodily needs & functions; maintains body's biological homeostasis (balance), e.g., temperature, heart rate, blood pressure
  • Control of the autonomic nervous system: fighting vs. relaxation.
  • Basic biological drives: feeding, thirst, sex
  • Sends various signals to the pituitary gland to release hormones

 iii. Limbic System

[Limbic
                        System]

medial forebrain bundle
  • A loose network of structures which, together, appear to be involved in the regulation and expression of emotion and pleasure. These structures include the hippocampus, septum, amygdala, parts of the thalamus & hypothalamus, and several other structures.
  • Since they lie on the border between the cerebral cortex and lower/deeper structures, they were labeled as the "limbic" system by Paul MacLean in 1954 (limbus in Latin = border or edge).

Hippocampus

  • Human memory processes. Long-term storage (consolidation) of memories. We learned this from Patient H.M.

Amygala

  • Using many inputs from the sensory system, it evaluates the environment vis-a-vis emotion.
  • Particularly involved in weighing threats in the environment and, thus, signalling whether we might need to be anxious or fearful (researched by Joseph LeDoux at NYU)

Medial Forebrain Bundle (part of limbic system & passing through the hypothalamus)

  • Olds & Milner (1954) discovery of self-stimulation centers in rats' brains = "pleasure centers"
  • DA-rich neurons which, when stimulated, result in pleasure/reward as well as a sense of salience (wanting/desiring)
 iv. Cerebrum  The largest and most complex part of the human brain.
 [Cortex Top View]
  
[Cortex Bottom View]
Cerebral Cortex = The outer layer of the cerebrum. Deeply folded and compacted

Cerebral Hemispheres.
The cerebrum is divided into two hemispheres. The right and left hemispheres are separated by a deep longitudinal fissure. Deep below the outer cortex, the two hemispheres are connected by a thick bundle of fibers called the corpus callosum.
 
[Cerebrum]

 Lobes of the Brain

[Lobes of the
                    Brain]

 Frontal Lobe
  • Primary motor cortex: initiation of movement (lighter blue in diagram)
  • Prefrontal cortex: area in front of motor cortex (deep red in diagram)
  • Executive functions: Goal planning, making decisions, considering context
 Parietal Lobe
  • Primary processing area for sense of touch and the other somatosensory senses (temperature, pressure, proprioception, etc.; darker blue in diagram)
  • Processes the spatial aspects of behavior (e.g., where the body is located in space; lighter blue in diagram).
 Temporal Lobe
  • Primary auditory processing area
  • Comprehension of spoken language
  • Processes visual data to recognize faces, objects, and what they are called
 Occipital Lobe
  •  Primary visual processing area

 3. Right Brain/Left Brain: Hemispheric Specialization
Broca  [Paul Broca]          [Tan's Brain]    [Broca &
                  Wernicke's Areas]   [Paul
                  Wernicke]   Wernicke

 19th Century: Discovery of Hemispheric Dominance

Paul Broca

  • In 1861, French neurologist, Paul Broca, found at autopsy that there was a lesion at the rear (back or posterior) of the left frontal lobe of his patient, Leborgne, who had been unable to utter words for three decades.
  • The area is now known as "Broca's Area" and patients with damage (lesions) to this area have difficulty actually pronouncing spoken language. This difficulty is also known as "Broca's aphasia" or "expressive aphasia".

Carl Wernicke

  • In 1874 the German neurologist, Carl Wernicke, described a medical condition associated with damage to the top rear (posterior) region of the left temporal lobe. Patients with lesions in this region are unable to understand spoken and written language even though they may still be able to produce fluent speech. Unfortunately, despite their fluency, the sentences and words produced often make no sense. This condition is often known as "Wernicke's aphasia" or "receptive aphasia" and the region of the cortex is usually called "Wernicke's area"

Conclusion: By the 20th century, neurologists and psychophysiologists described the left hemisphere of the brain as dominant for language. They sometimes spoke of the right hemisphere as both non-dominant and suggested that there were few important functions carried out there. They were wrong because this was far too simple (simplistic) an analysis.

 Split-Brain Research

[Roger
                    Sperry]  Roger Sperry
Nobel e-Museum

[Split
                    Brain Research Model]Roger Sperry, Michael Gazzaniga, and their associates studied the functional psychological effects of "split brain" operations (severing of the corpus callosum in order to eliminate chronic epileptic seizures).

In their research they asked patients after the operation to fix their eyes on a dot in the middle of a screen. They then briefly flashed a slide on the screen which contained two items, one on each side of the fixation point. The flash was too brief for the eyes to move. Thus, images in the right visual field (the "telephone" in the figure) were processed in the left occipital lobe while images in the left visual field (the word "dog" in the figure) were processed in the right occipital lobe.

Patients were unable to name items flashed to the left visual field (right occipital lobe) but could name items flashed to the right visual field (left occipital lobe). However, even though they could not name items in the left visual field, they could pick the item afterwards out of an array of pictures which contained the item.

These results support the notions of

  • Language processing in the left hemisphere
  • Continued visual processing in the right hemisphere
 Hemispheric Specialization  
Left Hemisphere
  • Verbal processing (speech, language, reading)
  • Some evidence for analytic processing, that is, items in discrete parts
Right Hemisphere
  • Nonverbal processing -- spatial data
    • Musical perception
    • Visual object recognition
  • Some evidence for synthetic processing, that is, recognizing the overall configuration or organization of perceptual data
 Caution In the normal human brain, both hemispheres are in direct and intensive contact with each other. The evidence that individuals use one hemisphere more than another ("I'm more of a right-hemisphere kind of person") is extremely weak or non-existent!!!